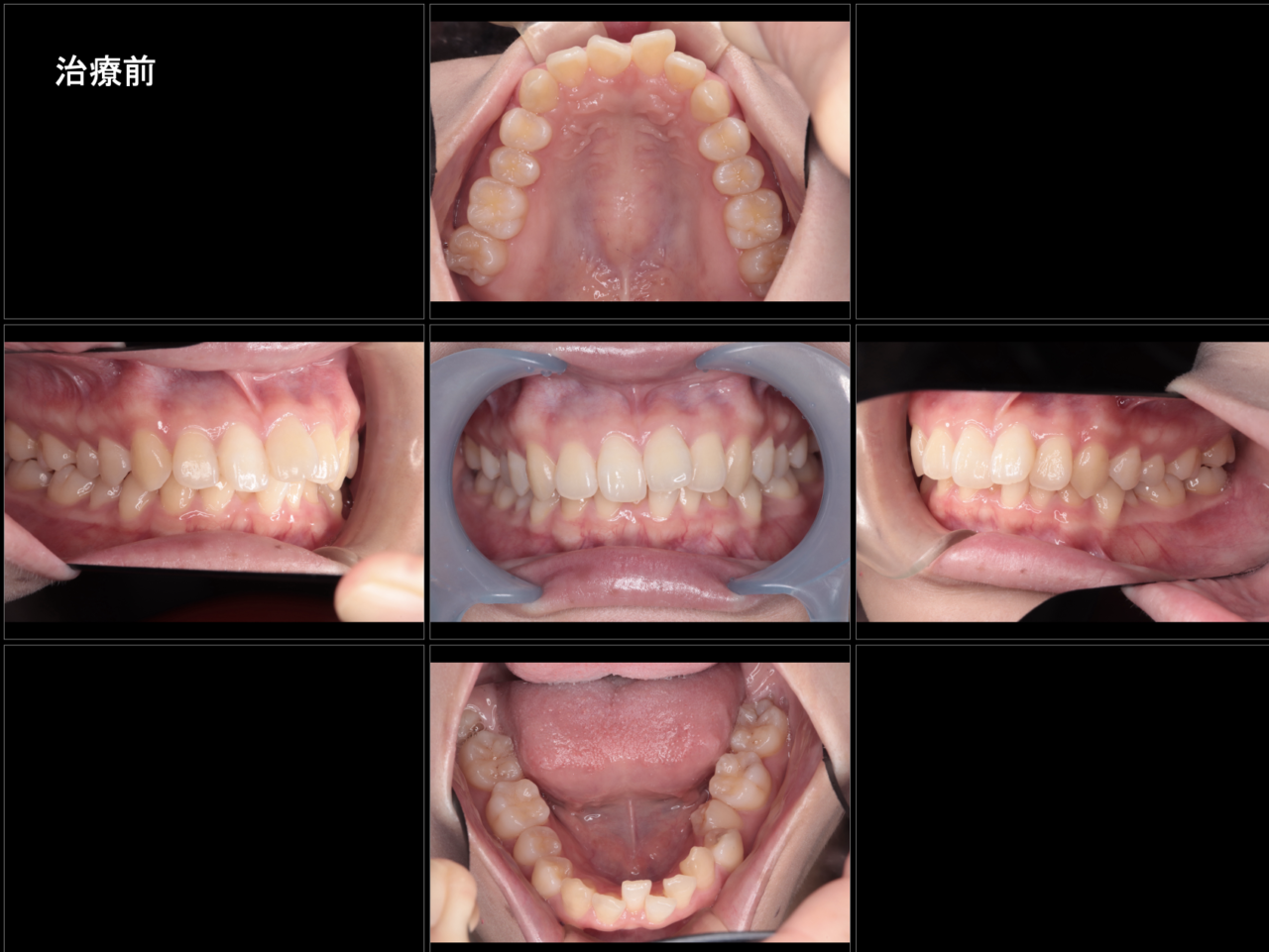
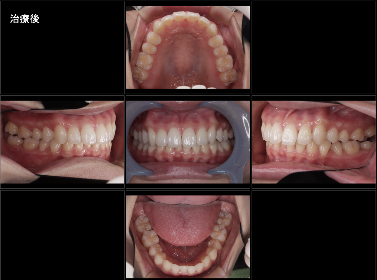
インビザライン
20代女性_インビザライン_めちゃ笑えるようになった
-
before 
-
after 
| 年齢 | 20代 |
|---|---|
| 性別 | 女性 |
| 治療内容 | 主訴 患者さんの声(参考までに) |
| 治療期間・回数 | 10回 約1年 |
| 費用 | 税込み 50万円 |
| 治療のデメリット・注意点 | 前歯の部分矯正となります。奥歯のかみ合わせの改善には限界があります。ただし短期間で治療を終えることができます。 |
治療詳細
-

前後正面
本当にきれいになっています。



