0294-72-1888
9:00~12:00/14:00~18:00 休診日:土曜・日曜・祝祭日
当院について
医院案内
アクセス
医療法人H&Sとは?
院長・スタッフ紹介
感染症対策
施設基準一覧
初診の方へ
初めてご来院の方へ
初診予約について
診療案内
虫歯・歯周病・根管治療・小児歯科
予防歯科
歯を失ったときの治療
インプラント治療
インビザライン
メタルフリー治療
レーザー治療
マイクロスコープ治療
症例紹介
料金表
採用情報
電話
新規WEB予約
アクセス
採用情報
メニュー
HOME
初めてご来院の方へ
初診予約について
医院案内
医院案内
医療法人H&Sとは?
感染症対策
院長・スタッフ紹介
診療案内
虫歯・歯周病・根管治療・小児歯科
予防歯科
歯を失ったときの治療
インビザライン
メタルフリー治療
レーザー治療
マイクロスコープ治療
インプラント専門サイト
精密根管治療専門サイト
料金表
アクセス
採用情報
症例紹介
施設基準一覧
新規WEB予約
症例紹介
HOME
症例紹介
すべての投稿
2026.04.23
歯周治療
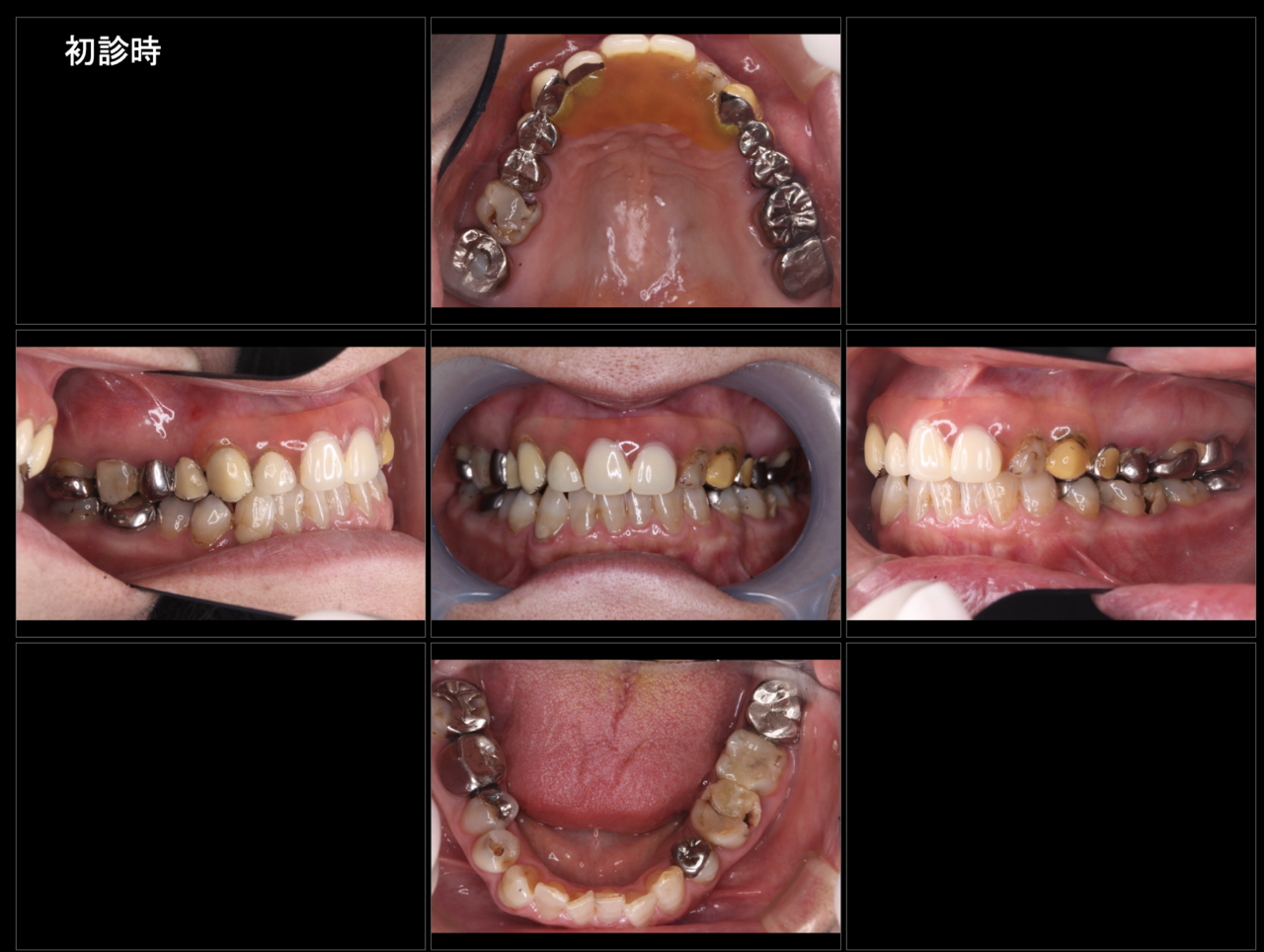
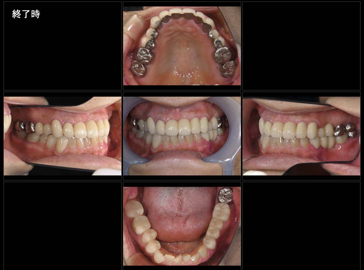
60代女性_前歯がグラグラする_見た目が気になる_歯周病が心配
BEFORE
AFTER
続きを読む
2026.01.22
インビザライン
10代女性_八重歯が気になる_インビザライン
BEFORE
AFTER
続きを読む
2026.01.20
インプラント治療
50代女性_左上根管治療予後不良_全体に治したい
BEFORE
AFTER
続きを読む
2026.01.13
インプラント治療
50代女性_金属アレルギー解消
BEFORE
AFTER
続きを読む
2025.12.04
インビザライン
20代女性_インビザライン_めちゃ笑えるようになった
BEFORE
AFTER
続きを読む
1
2
3
>