インプラント治療
50代女性_左上根管治療予後不良_全体に治したい
-
before 
-
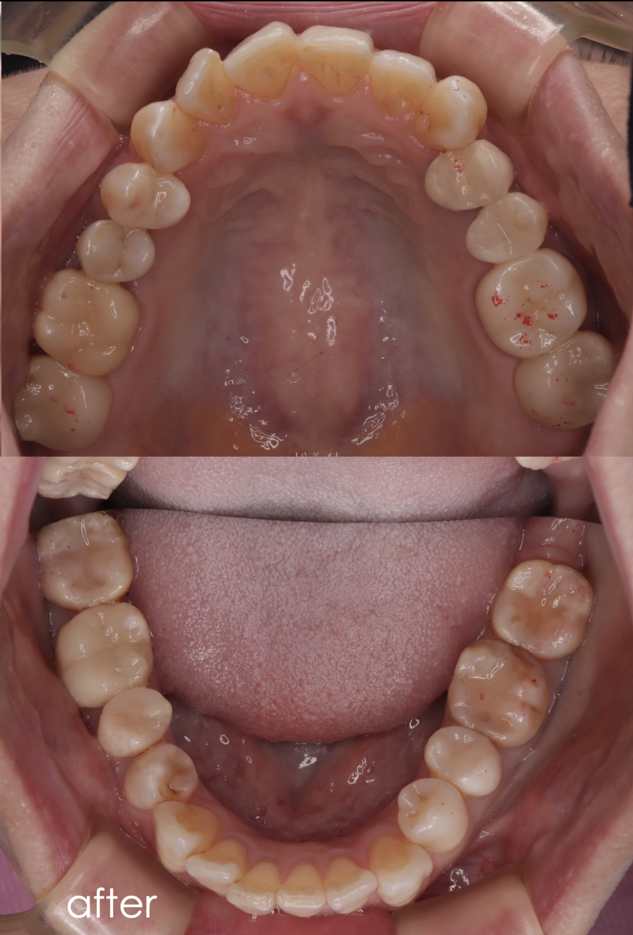
after 
| 年齢 | 50代 |
|---|---|
| 性別 | 女性 |
| 治療内容 | 左上奥歯の歯肉が腫れて痛い。他の歯科医院で根管治療を受けているが治療方針に不安があったため、当院を調べて来院されました。 |
| 治療期間・回数 | 約20回 1年4ヶ月 |
| 費用 | インプラント治療50万円、セラミック治療6万円〜10万円(税別) |
| 治療のデメリット・注意点 | 治療のデメリット・注意点 ●治療のデメリット************************* |
治療詳細
-

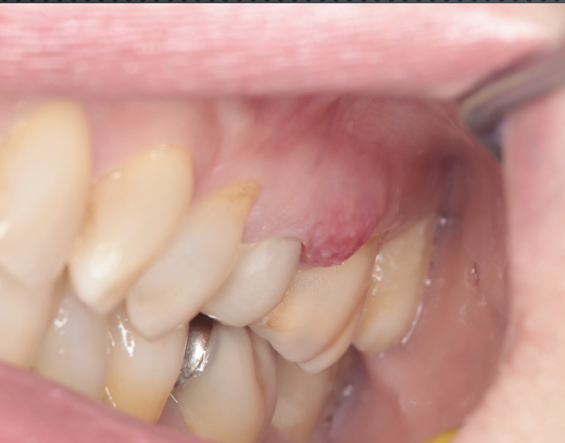
初診時
左上の治療中の歯肉が腫れて痛い。根管治療を何度も繰り返しているが一向に良くならない。
-

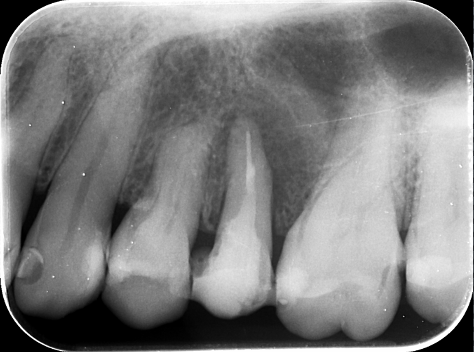
デンタルレントゲン
歯根を取り囲むような黒い影があり、歯根破折を強く疑います。
-

抜歯時の状態
抜歯してみると、歯根破折がみられ、その周囲には比較的大きな膿疱ができていました。これではいくら治療しても治りません。
-

インプラント診査
抜歯後3ヶ月待ってインプラント治療を行いました。青色がインプラントシミュレーションとなります。上顎洞底までの距離が短いため注意が必要な症例です。
-

術後CT
インプラントを入れた直後のCTとなります。上顎洞底骨を若干底上げして埋入しています。術後の腫れや痛みは皆無でした。
-

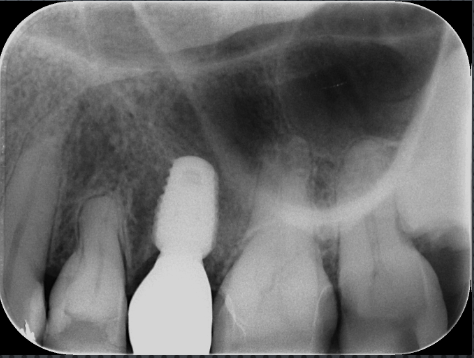
set後のレントゲン
膿疱もキレイに治っております。
-

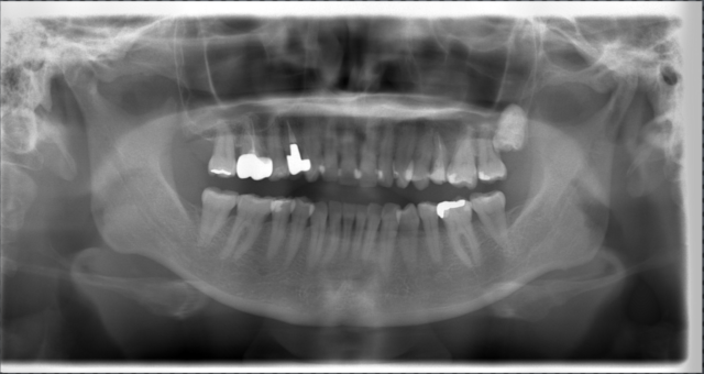
術前レントゲン
-

術後レントゲン
-

初診時
-

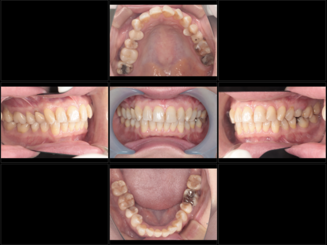
終了時
患者さんの声(個人の感想です)
インプラント治療を受ける前は、食事するときに片側の歯でかむ癖がありましたが、治療後は安心して左右の歯でバランス良くしっかりと噛んで食事を楽しめるようになりました。 -



