Concept
自分の家族に勧めたい
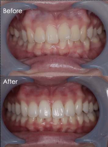
治療を患者さんへ
当院はみなさまに安心・安全な治療を受けていただくために、最高レベルの滅菌消毒システムと、新しい治療設備を導入している歯科医院です。
少しでも長持ちするための精密治療、効果的な予防処置と健康習慣で「一生自分の歯でおいしく食事ができる」喜びを提供します。
-
安心安全の治療を行います
01
-
できるだけ神経を取りません
02
-
歯周病退治を目指します
03
-
自分の家族に勧めたい治療
04
-
一人でも多くセルフケアの達人を
05
Treatment
診療案内
-


幅広い治療でマイクロスコープを使用
視野を何十倍にも拡大するマイクロスコープ(歯科用顕微鏡)を用いた治療を提供。
マイクロスコープ治療
肉眼では全く見ることが出来ない拡大した状態で、できる限り削らない・神経を抜かない治療を実現しています。 -


院内技工士がいるからこそできる高レベルの補綴物
当クリニックは医師と院内技工士のタッグにより、補綴物に対し患者さんごとのオーダーメイドの指示を可能にしています。また、セレックワンデーセラミック治療を採用。できるだけ長持ちする治療、金属アレルギーの心配もない治療を提供します。
メタルフリー治療 -


Greeting
院長ごあいさつ
輝く笑顔と噛みしめる喜びのために
私たちは予防の専門家として、患者さんに寄り添いながら、さまざまなアドバイスや歯を守るお手伝いをしていきます。少しでも歯を長持ちさせるために、「自分が受けたい」、「自分たちの家族に勧めたい」という治療の提案をさせていただいております。歯科に関することは、何でもお気軽にご相談ください。
院長・スタッフ紹介
Recruit
採用情報
当クリニックで一緒に
働きませんか?
菊池歯科クリニックでは、定期的な勉強会を行い日頃からスキルアップをできる環境をご用意しています。ママさんスタッフも在籍しており、お子さんがいらっしゃっても安心して働いていただけるように勤務形態なども柔軟に対応しています。ご応募お待ちしています。
About
菊池歯科クリニックについて
〒313-0004 茨城県常陸太田市馬場町85-1
最寄り駅:JR水郡線常陸太田駅
診療時間
月~金: 9:00~12:00/14:00~18:00
休診日:土曜・日曜・祝祭日























