インプラント治療
50代女性_金属アレルギー解消
-
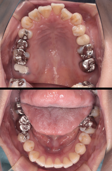
before 
-
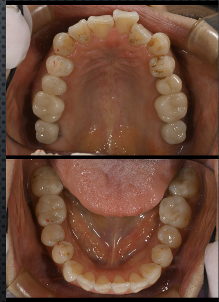
after 
| 年齢 | 50代 |
|---|---|
| 性別 | 女性 |
| 治療内容 | 1 歯周治療 |
| 治療期間・回数 | 約20回 |
| 費用 | インプラント費用約50万円、セラミック治療6万円〜10万円 |
| 治療のデメリット・注意点 | セラミック治療は保険適応外となります。 |
治療詳細
-

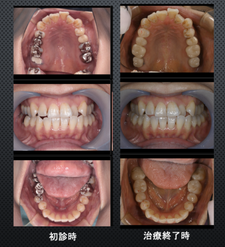
治療前後比較
-

パノラマレントゲン比較
9:00~12:00/14:00~18:00 休診日:土曜・日曜・祝祭日
インプラント治療


| 年齢 | 50代 |
|---|---|
| 性別 | 女性 |
| 治療内容 | 1 歯周治療 |
| 治療期間・回数 | 約20回 |
| 費用 | インプラント費用約50万円、セラミック治療6万円〜10万円 |
| 治療のデメリット・注意点 | セラミック治療は保険適応外となります。 |

